Escuela Dental de la Universidad del Sur de
California. U.S.A.
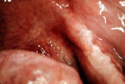
Debido a las consideraciones
sobre microscopía antes mencionadas, es fácil entender por qué el
carcinoma in situ de color rojo pequeño en
el piso de boca es difícil ver.
El
carcinoma in situ en paladar es muy peligroso.
Cuantas
lesiones similares como en la fotografía ha dejado pasar en la
clínica sin un diagnóstico.
¿Es
necesario que usted las detecte?
Esta lesión resultó ser un carcinoma in
situ, después de realizar la respectiva biopsia.
Es una situación aterradora cuando usted comprende el
potencial de esta enfermedad