Salud Dental Para Todos

 

Microscopa del liquen plano.

Escuela Dental de la Universidad del Sur de California. U.S.A.

Click en las imágenes para ampliar.

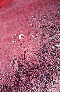
Los rasgos microscópicos del liquen plano son la hiperqueeratosis, la acantosis focal y una reacción inflamatoria que abraza al epitelio y no se extiende a los tejidos más profundos.
Con un aumento más potente se observa que la inflamación es casi completamente de naturaleza linfocítica.
Hay a veces degeneración hidrópica del epitelio en que las células inflamatorias pueden extenderse.
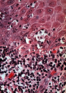
El liquen plano erosivo ofrece una separación entre el epitelio y el tejido conjuntivo inflamado. 

Particularmente en la forma erosiva, para obtener un diagnóstico definitivo la toma biopsica  debe realizarse de las zonas  ulceradas y blanquecinas. 

Cuando tiene asiento en la encía también se realizará el mismo procedimiento.

Volver