Salud Dental Para Todos

 
 

Microscopía acerca de las lesiones blancas

Escuela Dental de la Universidad del Sur de California. U.S.A.

Click en las imágenes para ampliar.

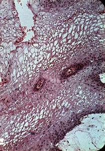
Hiperqueratosis

Antes de ilustrar las varias lesiones blancas de la  mucosa oral, es importante entender por qué una área puede parecer blanca. La luz  no refleja la hemoglobina de los vasos sanguíneos, debido a un obstáculo. Se ilustran razones para este obstáculo en las próximas seis imágenes.

El término "leucoplasia " es dado por parecer un  parche blanco, puede aplicarse a muchas enfermedades diferentes de la mucosa y no afirma una entidad específica. El exceso de formación de queratina madura (hiperqueratinización) probablemente es la causa más común para una lesión parecer blanca. La capa roja espesa de material que cubre el epitelio es queratina.

Paraqueratosis

La formación de queratina inmadura (paraqueratosis) puede causar el mismo efecto. La paraqueratina son células epiteliales con queratina y donde los núcleos picnoticos todavía están presentes. A menudo la  ortoqueratina y paraqueratina están juntas, presentes en una sola lesión

Acantosis

Es el aumento de grosor del epitelio (acantosis) tiene el efecto de poner un obstáculo entre el tejido vascular y el observador. Generalmente, la acantosis se refiere al aumento  del epitelio debido al aumento del número de células. (hiperplasia)

Edema intracelular

De vez en cuando, el epitelio puede coleccionar  fluido  intracelular y puede volverse edematoso. El término correcto es "espongiosis ".

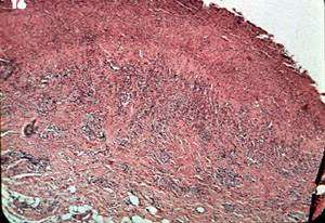
Inflamación

La intensa inflamación crónica en el tejido conjuntivo también tiene una tendencia a bloquear la reflexión de la luz  roja. Esta micrfotografía ilustra como la inflamación crónica puede evitar también la reflexión de la luz. Tiene el efecto de espesar el área entre la superficie y los vasos sanguíneos subyacentes.

Uulceración e Inflamación

De vez en cuando, las áreas ulceradas tienen una apariencia amarillento-blanca debido a la deposición de una capa espesa de exudado del coágulo sobre la superficie. Esto se ilustra bien en esta microfotografía de poco aumento  y explica la apariencia clínica de muchas úlceras aftósicas .
Volver