| |
|
Salud
Dental
Para Todos |
| |
|
Microscopia de la queratosis benigna |
|
Escuela Dental de la Universidad del Sur de
California. U.S.A.
|
|
|
|
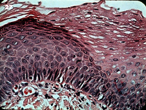
La apariencia microscópica típica
de la queratosis benigna revela formación de queratina aumentada y
acantosis del epitelio. Las células son uniformes y ninguna displasia
está presente. |
 |
|
La diferencia entre la queratinización
y el epitelio no queratinizado se ilustra bien aquí. Los núcleos de
las células queratinizadas son más grandes y más prominentes; esto
proporciona la apariencia más oscura del tejido. Las células, sin
embargo, son bastante uniformes y no hay atipías. |
 |
|
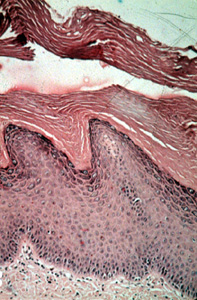
Aquí hay ejemplo marcado de hiperqueratosis, el
epitelio muestra una capa de células granulares sumamente prominente.
La capa celular granular generalmente se encuentra sólo bajo la
queratina madura y no en la paraqueratina. |
 |
|
A más aumento se muestra la capa de
células basal muy activa, formando columnas y la capa de células
granular es prominente. Las células y núcleos son bastante uniformes. |
 |
|
De vez en cuando, la queratosis asume
una configuración papilar. A veces es la queratosis verrugosa. Esto
proporcionará el cuadro clínico de una lesión verrugosa, áspera.
También está claro observando esta microfotografía, que la citología
oral no sería una buena herramienta de diagnóstico para evaluar esta
lesión. Raspando la superficie de una lesión queratósica sólo
obtendrá desechos necróticos y queratina. El diagnóstico real
consiste en la biopsia del área. |
 |
|