|
Microscopía de la queilitis solar
ó actínica |
|
Escuela Dental de la Universidad del Sur de
California. U.S.A.
|
|
|
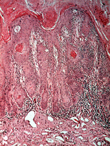
| Las cortes microscópicas de la queilitis actínica
muestra mucha queratina en la superficie
Con alargamiento de la basal formando lomas y debajo
se observs el tejido conjuntivo inflamado |
 |
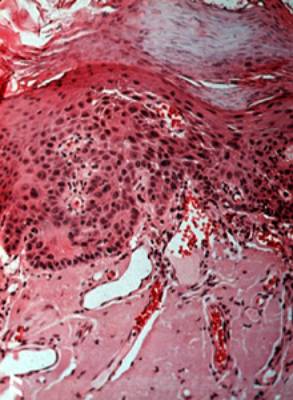
| Una vista a más aumentos muestra las anormalidades celulares similares a aquéllas
descriptas en el displasia de la mucosa, dilatación vascular y degeneración del colágeno
extensa ("elastosis senil"). Éstas son las alteraciones debido a la radiación solar. |
 |
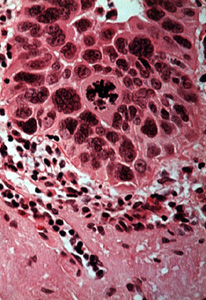
| Se muestran inflamación crónica, "elastosis senil" y displasia del
epitelio con oscuridad anormal agrandada de los núcleos más mitosis,
con este poder de resolución, en la queilítis actínica. |
 |
|