| |
|
Salud
Dental
Para Todos |
| |
|
Pénfigo Vulgar |
|
Escuela Dental de la Universidad del Sur de
California. U.S.A.
|
|
|
| El pénfigo vulgar es una enfermedad que ocurre
principalmente en la piel. Esta ilustración de
pénfigo vulgar muestras los rasgos clásicos de la enfermedad, a
saber son la vesícula y la ampolla. En la ruptura de estas lesiones la
piel se ulcera y forma un exudado costroso. Las lesiones son bastante
dolorosas. |
 |
| Muchos médicos no son conscientes que 65% a 75% de los
pacientes con pénfigo vulgar tendrán manifestaciones iniciales dentro
de la cavidad oral, sin la evidencia de las lesiones cutáneas.
Note las numerosas áreas ulceradas en el paladar duro
y blando, el área retromolar y la mucosa vestibular. No hay ninguna vesícula
intacta o ampolla. Esto es porque las vesículas y las ampollas son frágiles
y se rompen temprano por la masticación y fonación. |
 |
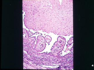
| Hay una apariencia característica histológica de la
enfermedad. Las vesículas son intraepiteliales generalmente suprabasal
. También hay una respuesta inflamatoria mixta en el tejido conjuntivo
subyacente. |
 |
| A mayor resolución se puede observar lo antes dicho;
las ampollas o vesículas son suprabasal. |
 |
|
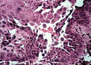
A una
mayor resolución las células de la capa de Malpighi sufren un doble
proceso, acantolítico (ruptura de los puentes intercelulares) y
degenerativo. |
 |
| Esta
enfermedad es autoimmune.
La acantólisis y las vesículas intraepiteliales
es causado por anticuerpos que no reconocen al tejido como
propio. Podemos localizar estos anticuerpos por inmunoflorecencia indirecta o directa. Los anticuerpos generalmente son del
tipo IgG. Cuando el tejido se expone al suero de IgG anti-humano con un
marcador fluorescente, se observa este patrón de estructura.
Note que
la fluorescencia está entre las células del epitelio. Esto es diagnóstico
de la enfermedad. Esta prueba puede hacerse directamente con en el
material de la biopsia, o con la sangre periférica del paciente.
|
 |
| Clínicamente
las lesiones en la cavidad oral son generalmente poco profundas con márgenes
irregulares. Éstas son bastante dolorosas. Raramente se observan vesículas
o ampollas intactas. La superficie ulcerada puede ser eritematosa o se
puede observar como un leve cambio de color y textura (descamación).
|
 |
| Note el
envolvimiento alrededor de la encía marginal de los dientes. En estas
áreas de úlceras discretas no pueden ser visibles. Puede haber sólo
eritema y / o descamación irregulares. Una úlcera más típica puede
verse en la unión del paladar duro y blando.
|
 |
| El pénfigo
vulgar pueden afectar cualquier área de la cavidad oral. Aquí las
lesiones de la mucosa bucal muestran erosiones de fondo rojo , de bordes
netos, recortados, a menudo rodeada de restos epiteliales que constituían
el techo de las ampollas.
|
 |
| Esto
muestra envolvimiento de la encía marginal que podría confundirse con enfermedad periodontal en la ausencia de otras lesiones. Note
el eritema, erosión y sangrado espontáneo del área.
|
 |
|