Salud Dental Para Todos

 
 

Tumor del embarazo

Escuela Dental de la Universidad del Sur de California. U.S.A.

Click en las imágenes para ampliar.

La apariencia clínica del llamado  tumor del embarazo es idéntica al granuloma piógeno; la enfermedad es escencialmente la misma. La única diferencia es que el paciente está embarazada.
Algunos tumores del embarazo suelen ser bastante grandes.

La gingivitis en el embarazo

Además del  "tumor" del embarrazo, las mujeres en cinta pueden tener un agrandamiento gingival difuso caracterizado por la misma proliferación de tejido de granulación. Esta imagen ilustra la llamada gingivitis del  embarazo que involucra muchas áreas. El tratamiento generalmente se pospone hasta la terminación del embarazo; sin embargo, si las lesiones tienden a volverse dolorosas y sangrantes, la terapia debe instituirse temprano.

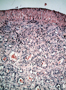
El Tumor del embarazo

La apariencia microscópica es idéntica al granuloma piógeno. Aquí  vemos una superficie ulcerada y debajo hay una proliferación vascular que corresponde al tejido de granulación.

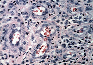
El Tejido de granulación

A mayor resolución se ilustra bien las células endoteliales y la actividad de los fibroblastos en  asociación con numerosos capilares congestionados.

Volver