Salud Dental Para Todos

 

Periodontología Pricipal Gingivitis Periodontitis Patogenesis Perdida de inserción  Colonización subgingival Bacterias subgingivales Eliminación de  bacterias Patología periodontal  Tratamiento no quirurgico  Cicatrización  Cirugía  Gingivectomia  Procedimientos por colgajos

Periodontología Básica

Gingivectomía

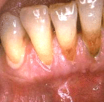
Mujer de 64 años de edad con  enfermedad periodontal severa en los dientes anteroinferiores. Al sondaje de la bolsa periodontal presentó una profundidad de  5-8 mm. En el  examen inicial al sondaje suave  presentó  flujo de pus en el margen gingival. La imagen ilustra un síntoma prominente de la enfermedad periodontal severa.

La imagen muestra la condición clínica inmediata que sigue a una incisión correcta para la  gingivectomía. La terminación  apical de la bolsa se localizó por debajo de la linea  mucogingival  y la incisión tuvo que realizarse en  mucosa móvil. En la superficie bucal del canino se observa un cálculo  subgingival que ha sido expuesto por dicha técnica quirúrgica.

El mismo paciente 10 años después del  tratamiento. El paciente fue  instruído en la higiene dental cuidadosa y la limpieza supragingival profesional se realiza una vez cada tres meses. Ninguna progresión de enfermedad periodontal ha ocurrido.
Estas imagenes fueron producidas  por Rolf Attstrom y la Asociación Dental Dinamarquesa en colaboración con  Video  Goof, Dinamarca. Cámara y videoediting Tommy Ols, Videocompiling y Grabación  Anders Nattestad
Rolf Attstrom ,  Professor and Chairman, Department of Periodontology, Centre for Oral Health Sciences, 21421 Malmo, Sweden.
Anders Nattestad  Palle Holmstrup
Publicado en Agosto de 1998 y actualizado en Noviembre de 1999
Traducción:  Marcelo A.  Iruretagoyena (Odontólogo) Licenciada Adriana Verón.