| |
|
|
Diagnóstico para
el blanqueamiento dental |
|
E-mail:
Od.
Marcelo Alberto Iruretagoyena
|
- Establecer un color basal antes de iniciar el tratamiento
blanqueador
- Exploración de los dientes, tejidos gingivales y sensibilidad
dental
- Buscar enfermedades sistémicas o medicaciones que pudieren
afectar la coloración de los dientes.
|
1. Establecer un color basal antes
de iniciar el tratamiento:
- Antes que nada es preciso registrar con fotografías la
tinción presente en la boca del paciente. Las fotografías son
valiosas como recordatorio de su estado bucal, antes de iniciar
el tratamiento; dado que el paciente suele olvidarse el aspecto
que tenían dientes.
|
 |
- Eliminar manchas superficiales en el esmalte
y desoperculizar el esmalte: Solemos
utilizar el micromotor a baja velocidad con un cepillo o copa
profiláctica y polvo de piedra pómez. También puede
utilizar el sistema hidroneumático de Air Prophy el
cual utiliza aire a presión con agua y bicarbonato , como agente abrasivo. El sistema
hidroneumático a presión tiene la ventaja de eliminar las manchas entre
los dientes, evitando utilizar las tiras pulidoras
interdentales. La desoperculización del
esmalte consiste en eliminar la capa orgánica de la superficie.
Para que el agente blanqueador difunda al
interior del esmalte.
 |
 |
 |
|
Profilaxis dental
con pómez y brochita |
Air
Prophy |
|
2. Exploración de los
dientes, tejidos gingivales y sensibilidad dental:
- Comprobar presencia de caries: Es preciso detectar
las caries que hubiere y valorar si estas modifican el color del
esmalte.
- Caries incipientes y remineralizadas
(mancha
blanca ó marrón) modifican el color del esmalte dental.
- Las restauraciones deficientes:
Observe si hay microfiltración con decoloración marginal (Código 1, 2 y 3
de ICDAS). Deben ser removidas y
obturadas con una resina microhibrida por lo menos uno ó dos
tonos más claros que el diente libre de manchas extrínsecas.
- Examinar el esmalte:
- Amelogenesis imperfecta: alteraciones del desarrollo
que generan desde la
hipoplasia del esmalte hasta la falta
total de este. El blanqueamiento resultante es francamente
deficiente y por ello debe ir acompañado de
enmascaramiento estético, carillas ó coronas.
- Metalosis del esmalte dental, por las amalgamas
de plata o incrustaciones no preciosas. Las decoloraciones por metalosis de la amalgama dental son tinciones del
esmalte y dentina producidas por la electrólisis de las
amalgamas en contacto con la saliva. A un pH menor de 7
la saliva se comporta como un electrolito,
haciendo migrar los iones plata de la zona más
concentrada a la menos concentrada (esmalte) Muchas
veces el tratamiento blanqueador resulta, si se elimina
en forma mecánica la tinción de plata más saturada de la
dentina.
- Calidad
del esmalte ¿Tiene brillo ó es opaco? Hay áreas erosionadas
(corrosión ácida), manchas
(blanca / marrón), la presencia de cambios de
textura y color pueden sugerir una
fluorosis, el cual dificulta
el tratamiento blanqueador. También puede sugerir problemas más
difíciles de tratar. Dientes de color marfil con esmalte
brilloso, determina un esmalte muy compacto difícil de
blanquear. Existe una prueba muy sencilla para
conocer el grado de permeabilidad del esmalte dental o también
llamada
Resistencia
a la corrosión ácida del esmalte en piezas dentales permanentes. Si en ese lapso de tiempo se obtiene el patrón
característico de grabado del esmalte, las posibilidades de éxito
son mayores. También es importante hacer notar al profesional,
cuanto más permeable es el esmalte dental , menos tiempo durará el
blanqueamiento. Y debe aconsejar al paciente para realizar citas
futuras de blanqueamiento, si desea mantener los resultados.
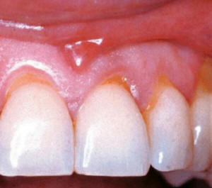
- Explorar la encía:
Gingivitis o enfermedad periodontal leve, moderada y severa contraindica
el tratamiento. Dado que el sangrado y la exposición de la
dentina y cemento malogran los tratamientos blanqueadores. Las
encías retraídas dejan espacios interdentales oscuros, el
cemento dental decolorado no se blanquea. A veces junto con el
tratamiento blanqueador es necesario
confeccionar carillas para eliminar los defectos de color y
forma.
|
 |
|
Retracción
gingival |
  |
|
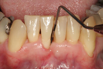
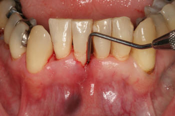
Realizar el
sondaje periodontal para identificar bolsas
sangrantes |
- Sensibilidad dentaria:
Determine si hay sensibilidad a los cambios térmicos, utilizando
en la zona de los cuellos chorros intermitentes de agua y aire
de la jeringa triple. Si la sensibilidad es positiva, advierta
al paciente sobre los riesgos del tratamiento en dientes
sensibles. Pueden llegar a necesitar topicaciones
períodicas de barniz fluorado post tratamiento o la realización
de la respectiva biopulpectomía total.
- Realizar estudio
radiográfico de todos los dientes a tratar: Examinar
radiografías para detectar caries oculta, restauraciones
defectuosa y lesiones de la cortical alveolar
preexistentes. Asegurarse de que las cámaras pulpares no son
demasiado grandes por los posibles daños pulpo-periodontal del
agente blanqueador. Determinar el espesor del esmalte. Esmalte
muy fino acerca el riesgo de sensibilidad y deterioro pulpar.
- Comprobar fluorescencia:
La fluorescencia es un buen método para observar si la estructura
del esmalte es homogénea o no. En un estructura homogénea del
esmalte es posible lograr un efecto blanqueador uniforme. Una
estructura no homogénea del esmalte derivará en un efecto
blanqueador poco natural ó hará resaltar los defectos del
esmalte en tonos distintos. Las opacidades debidas a
tretaciclinas suelen brillar con la luz fluorescente.
- La
transilumiación
permite observar las piezas dentales desde diferentes ángulos y
observar la opacidad, profundidad de las capas de cualquier tinción.
También es útil para detectar caries superficiales y profundas.
|
3. Buscar enfermedades
sistémicas, medicaciones y hábitos que pudieren afectar la coloración de los
dientes.
Enfermedades y medicaciones
que disminuyen el flujo salival. Los pacientes con
sequedad oral los pigmentos ingresen profundamente en el
esmalte. Ejemplos de enfermedad general que resulta o puede producir sequedad oral o un cambio en la composición de
la saliva:
-
Enfermedades sistémicas
-
Enfermedades autoinmunes:
-
Síndrome de Sjögren
-
Artritis reumatoide
-
Sarcoidosis
-
Inmunodeficiencia:
-
SIDA
-
Desórdenes hormonales:
-
Enfermedades neurológicas:
-
Perturbaciones de las glándulas endocrinas:
-
Otros desórdenes:
-
Hipertensión
-
Deshidratación
-
Se tratan a menudo de pacientes con depresiones endógenas tratadas
con antidepresivos tricíclicos, que producen sequedad oral. La depresión
"per se" también lleva a una reducción en la producción de
saliva. La tensión y ansiedad pueden influir en
el volumen de la saliva.
-
La bulimia genera alteración de color
y morfología del esmalte, por la regurgitación de los
alimentos (vómitos) generando corrosión acida del
esmalte.
-
Perturbaciones neurológicas:
Los tumores y las secuelas de las cirugía
cerebral que afecta al nervio trigémino, el nervio facial y el
glosofaríngeo. Puede afectar el centro que estimula la producción de
saliva, produciendo desde la hipo salivación hasta la xerostomía.
-
Defectos locales en las glándulas salivales:
-
Perturbaciones de desarrollo
-
Tumores en las glándulas salivales
-
Inflamación de la glándula salival
- Tetraciclinas: La ingestión durante el desarrollo
de los dientes provoca modificaciones de color y
brillo.
-
Fluorosis: Provoca decoloración y modificación
estructural del esmalte en distintos grados.
- Las anemias tratadas con hierro por vía oral
producen decoloraciones extrínsecas difíciles de resolver.
- Hábitos como fumar, ingerir te, mate o café suelen
pigmentar superficialmente el esmalte. La ingestión persistente de cítricos puede producir
deterioro de color y forma del esmalte por
corrosión acida.
|
| Bibliografía: |
|
|
|