Salud Dental Para Todos

 
 

Prueba del enfilado dentario

E-mail: Od. Marcelo Alberto Iruretagoyena

Es la etapa clínica de probar los dientes artificiales con el paciente, para verificar :
  1. Estética

  2. Fonética

  3. Plano de oclusión

  4. Relación intermaxilar

  5. Oclusión

1- Estética 

Recuperación del  las proporciones anatómicas del tercio inferior de la cara con respecto a los dos tercios superiores , en el plano frontal y sagital. Para ello necesitamos la aprobación del paciente y de ser posible de un eventual acompañante

 

 

Antes

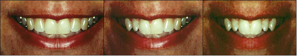
Después

A-  Soporte labial: El ángulo nasolabial debe ser de 90º si esto no se cumple tendrá insuficiente soporte labial y el bermellón  del labio se verá reducido.

Insuficiente soporte labial por disminución de la  dimensión vertical oclusiva      Buen soporte labial por una acorde dimensión vertical oclusiva  Excesiva dimensión vertical permite la elección de dientes muy grandes
La unión de la mucosa oral  solamente debe ser visible cuando los labios son ligeramente separados. Si no es visible hay insuficiente soporte. Fotografía derecha.
Los labios se encuentran en la unión del epitelio oral y la mucosa de transición.

B- Línea de la sonrisa: los dientes superiores deben seguir la línea que dibuja la superficie del labio inferior.

C- Evite " La sonrisa de dentadura postiza"

  • Dientes demasiados pequeños.
  • Dientes que no se muestran demasiado
  • Dientes que solo se ven al mascar o al sonreír.
  • Dientes muy parejos que se parecen a un teclado de piano

 

D- Pasillo bucal: es el espació que debe existir entre los premolares y el carrillo, y se observa de color oscuro

Los dientes muy grandes disminuyen el pasillo bucal.

Cuando este espacio se invade con los dientes, no se observa el pasillo bucal.

E- Cuellos dentarios: al sonreír el borde inferior del labio superior debe relacionarse con el cuello de los dientes antero superiores.  Lo normal es que no se vea encía. Recordemos que en un desdentado total la encía es acrílico rosado, y delata la presencia de algo artificial

F- Línea media:  de los incisivos debe corresponderse con la línea media del rostro del paciente, puede tener un desvío de un milímetro a la derecha o izquierda., para parecer mas natural

G- Suficiente espacio para la lengua, este espacio se realiza tirando una línea imaginaria que va de distal de canino hasta la papila retromolar

Al paciente se le hace abrir un poco la boca y se le pide que protruya la lengua entre las arcadas dentarias, la prótesis inferior no debe sufrir desplazamiento.

 

H- Covexidad de la encía protética: El contorno de la encía vestibular protética debe ser convexa como lo muestra la figura A

Si es cóncava como en la figura B los detritus alimenticios quedaran confinados en la zona vestibular, dado que la lengua no alcanza esa zona para realizar la auto limpieza.

2- Fonética 
  • Los incisivos centrales superiores deberían tocar suavemente el labio inferior para los sonidos de las letras "F" y "V".
  • Los sonidos de la letra "S" se logra con acercar los bordes incisales de los dientes superiores e inferiores

 

 

 

 

Evitar el Ceceo

  • Los espacios o diastemas permiten el escape de aire,  una llave canina inapropiada genera un diastema,

  • En celeste zonas de contacto de la lengua cuando se produce el sonido "S". Un paladar abultado produce ceceo, en color rojo.

 

  • Demasiado overjet: mas de 2 mm. produce ceceo
 
 

  • Una forma de arco demasiado amplio produce ceceo

Arco dental muy amplio

Arco dental correcto

Arco dental muy cerrado

3- Plano de oclusión

El paciente al sonreír, nos permite también evaluar el plano de oclusión. Podemos verificar si es paralelo al plano de Camper  y a la línea bipupilar, utilizando la regla de Fox sobre los dientes artificiales del enfilado superior.

4- Relación intermaxilar

Dimensión vertical oclusiva:

  • El tercio inferior , tomado como un sector que va desde la base nasal hasta el borde del mentón debe ser proporcional a los dos tercios superiores de la cara.

  • El paciente en reposo y con el plano mandibular paralelo al piso; debe tener un espacio de 2 a 4 Mm. entre las cúspides de las prótesis. Se llama posición postural de reposo
  • El paciente debe deglutir con naturalidad.

Control de la relación céntrica oclusiva:

  1. El paciente al ocluir debe coincidir el engrane cúspide a fosa
  2. Si se verifica dos registros de oclusión. debe tomar un nuevo registro de oclusión en céntrica esto se hace de la siguiente manera:
    1. Quite los dientes posteriores de una de las prótesis.
    2. Agregue un rodete de cera en lugar de los dientes
    3. Caliente la espátula para cera con el mechero
    4. Funda la cera con la espátula caliente.
    5. Coloque las prótesis en boca
    6. Diga al paciente que la punta de la lengua la ubique en el sector más posterior del paladar, tocándolo.
    7. En ese momento indique morder el registro de cera, hasta que haga contacto con los dientes anteriores; así se mantiene la dimensión vertical oclusiva. Para ello debe tener un espejo de mano.
    8. Realice la remonta del modelo superior y verifique la discrepancia.
  3. En caso de discrepancia debe realizar un nuevo enfilado dentario.
  4. Si la discrepancia continua:  
    1. Hay pacientes que tienen múltiples registros de mordida, debido a la utilización de prótesis totales desadaptadas, y cuyas oclusales se observan planas.
    2. En este caso debe evaluar la capacidad  funcional del sistema masticatorio del paciente para seguir con el tratamiento acordado de prótesis lingualizada.   Si es así el paciente debe adaptarse a la nueva posición de la mandíbula y su relación intermaxilar.
    3. En caso de no ofrecer el paciente una buena adaptación masticatoria, por edad avanzada; debemos realizar la prótesis con el esquema de oclusión monoplano, o también llamado cúspides de 0º.

5- Oclusión.

  1. Con  el papel de articular verifique los contactos dentarios en "céntrica"
  2. Tenga en cuenta que en una completa lingualizada debe encontrar contactos firmes en cúspides palatina de premolares y molares superiores y en fosas centrales de premolares y molares inferiores, en oclusión céntrica.
  3. En dientes anteriores no debe haber contactos firmes en oclusión céntrica .
  4. El ajuste oclusal en excéntrica  se realiza con el registros intraoral,  en silicona por adición, durante la prueba del enfilado.
  5. Estos registros intraoral derecho e izquierdo, debe ser  remitido al técnico dental para programar el articulador y luego realizar el ajuste oclusal  de los dientes  en excéntrica

Registro en céntrica para remonta en articulador

Montaje en articulador para el desgaste en céntrica

Observe los contactos oclusales  en "céntrica "