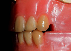
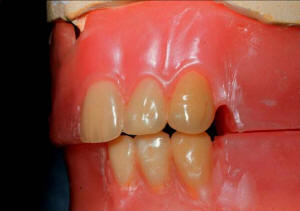
Llave canina
Llave canina correcta
Llave canina incorrecta