 |
Módulo 2: Diagnóstico de caries
|
La información
radiográfica contribuye significativamente a los hallazgos
clínicos en términos del hallazgo de lesiones en diferentes
estadíos de progresión (29,32)
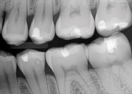
Las radiografías ayudan a estimar la profundidad de
desmineralización por caries en el esmalte y la dentina. La
profundidad no siempre está asociada con la presencia de
cavidad de caries, en especial en superficies proximales.
Investigaciones
clínicas que se realizaron en un país con una tasa baja de
progresión de caries revelaron que, en promedio, el 32% de
las lesiones visibles radiográficamente que se extendían
hasta el tercio externo de la dentina no había cavidad de
caries; por el contario, el 72% de las lesiones que se
extendían hasta 2/3 partes de la dentina tenían cavidad de
caries (33) Las
lesiones con cavidad de caries clínicamente o las lesiones
con obvia radiolucidez en dentina (más profunda que el 1/3
externo) en la superficie oclusal están altamente infectada
la dentina, debajo de la unión amelo-dentinaria (34,35)
Para establecer si una
lesión ha progresado o no, se requiere la toma de dos
radiografías con un lapso de tiempo entre ellas.
Si las radiografías están disponibles, el
primer paso es clasificar las lesiones de caries coronal en
dientes posteriores de acuerdo con los grados que están en
la Tabla 4.
|
Sistema radiográfico ICDAS
(Radiografía Bite-Wing) |
|
Sano |
 |
R0 |
No hay
radiolucidez |
 |
|
Estadios
iniciales * |
 |
RA1 |
Radiolucidez en
1/2 externa del esmalte |
 |
 |
RA2 |
Radiolucidez
en la 1/2 interna del esmalte ± UAD
(Unión amelo-dentinaria) |
 |
|
Se lo considera aún un estadio
inicial porque no hay dentina
infectada ) |
 |
RA3 |
Radiolucidez
limitada al 1/3 externo de la
dentina |
 |
|
Estadio
moderado
(En este estadió
comiemza la infección de la dentina por bacterias orales) |
 |
RB4 |
Radiolucidez que
alcanza hasta el 1/3 medio de la
dentina |
 |
|
Estadios
severos
(Infección franca de la dentina) |
 |
RC5 |
Radiolucidez que
alcanza hasta el 1/3 interno de la
dentina, clínicamente cavitada
|
 |
 |
RC6 |
Radiolucidez en
la pulpa, clínicamente cavitada
|
 |
*
Nota- La
mayoría de lesiones confinadas al esmalte no
se ven en las radiografías.
|
Tabla 4: Clasificación
radiográfica ICDAS
Radiografía de aleta mordible
(Bite-Wing)
|
La técnica tiene ventajas
con respecto a la radiografía periapical, debido que
reduce el tiempo de exposición a la radiación y disminuye
los costos y honorarios.
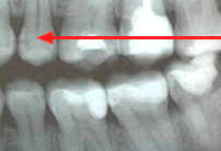
Técnica:
La cabeza del paciente se
coloca de manera que el plano de oclusión quede paralelo al del
piso. El rayo central se dirige al punto de contacto de los
dientes superiores con los dientes inferiores y paralelo a sus
superficies proximales, con el tubo formando un ángulo de 5 a
10º por encima del plano horizontal.
Ver figura 5. Para los dientes posteriores es
deseable tomar dos vistas de cada lado:
-
una en la que la película
se coloca más atrás para incluir el espacio inter-proximal
entre el segundo y el tercer molar,
-
y la otra lo bastante adelante
como para tomar la cara distal del canino. Solo necesita cuatro
películas para el diagnóstico de caries en todos los sectores
posteriores.
-
Cuando el tercer molar se
encuentra en proceso de erupción y se observa solo una parte de la
corona clínica a la inspección visual, es de utilidad diagnóstica
general, una imagen de una radiografía periapical de esa pieza
dental en particular.
|

Figura 5 |
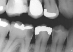
El ICCMS clasifica radiográficamente las superficies
posteriores de los dientes (36,37) Se
ha reportado que tanto la reproducibilidad como la precisión
de este sistema de clasificación son de significativas (33)
a excelentes (37)
La evidencia
indica que la profundidad de penetración radiográfica en la
que se puede predecir de forma confiable que la superficie
del diente está cavitada y que la dentina está muy
infectada, es cuando la radiolucidez está más alla del
tercio externo de dentina (7,34,35,38,40).
Esto corresponde a los códigos 4, 5 y 6 en el sistema de
clasificación radiográfica de ICCMS. Ver tabla 6. En casos en que las
tasas de progresión son rápidas, se puede esperar que en
lesiones con clasificación 3 en el sistema descrito
anteriormente, haya formación de cavidad.
Es importante
saber que existen diferentes convenciones en diversos países
para la clasificación de la severidad de las lesiones en los
casos en los que se requiere manejo operatorio. Para poder
reducir las variaciones a nivel internacional en este
aspecto, se requiere mayor evidencia.
Finalmente, tanto la
información radiográfica (cuando está disponible para
dientes posteriores) y la valoración clínica terminan
clasificando la lesión en las categorías de inicial,
moderada o severa. Es importante reconocer la variación
entre países en cuanto a la definición de la severidad de la
lesión y su equivalencia radiográfica. Esta variación se
reducirá en la medida que haya más evidencia.
Finalmente, tanto la información
radiográfica (cuando está disponible para dientes
posteriores) y la valoración clínica terminan clasificando
la lesión en las categorías de inicial, moderada o severa.