|
A tener en cuenta.
Nunca la prótesis engranan bien en posición de
máxima intercuspidación cuando son instaladas por primera vez,
debido a la nueva relación intermaxilar, dimensión vertical y a la resiliencia de las mucosas. Por eso es
conveniente citar al paciente 24 horas después para evaluar la
oclusión
y las molestias que percibe.
El paciente en ese tiempo debe generar un nuevo patrón
neuromuscular de mordida y de
posición postural de reposo, generado por las modificaciones
de
la
dimensión
vertical
oclusiva
y
el plano de oclusión
de
las
nuevas
prótesis.
Pregunte al
paciente
-
¿Dónde le molesta?
-
¿Cuándo le molesta?
El paciente que le explique el problema. Si aún
tiene dificultad en el diagnóstico. Hay
un listado de los problemas más comunes de los pacientes portadores de
prótesis nuevas.
- Base de dentadura
- Oclusión
- Retención
- Dimensión vertical
oclusiva
- Alergias
e inflamación
- Posición de los
dientes
|
1- Base de dentadura:
Toque con las yemas
de los dedos la base de prótesis en busqueda de:
|
 |
- Evaluar puntos de sobre presión , con pasta indicadora de
presión (PIP), para su correcto uso, observe la imagen derecha,
que muestra la cantidad de pasta necesaria que debe ser aplicada
con un pincel plano.
- En la imagen derecha inferior se observan las superficies de
sobrepresión, que deben ser aliviadas con fresa adecuada
- Se realiza el alivio con fresa, el desgaste debe ser
superficial, para no desgastar demasiado. Ver imagen inferior
- Sobre extensión en ls zonas de los frenillos,
debe ser aliviado con fresa adecuada a la forma del espacio del
frenillo.
|
 |
 |
 |
| Zona de sobrepresión que muestra el color
rosa del acrílico |
|
|
Estos problemas pueden ser
solucionados durante la consulta dental, dado que solo requiere la
eliminación del problema con instrumental rotatorio y el posterior pulido
con pómez y cepillo. |
|
2. Oclusión
-
Rrequiere tiempo el
ajuste en la nueva relación céntrica.
-
Tiene dificultad en determinar la
interferencia oclusal , en protrusión o excéntrica:
Realice la remonta de las prótesis para hacer
el ajuste oclusal en el articulador.
-
Tome primero un registro
intraoral de la prótesis, en céntrica y excéntrica derecha e izquierda;
y utilice el arco facial como si fuera un paciente dentado.
-
Con las prótesis montadas en
articulador.
|
|
|
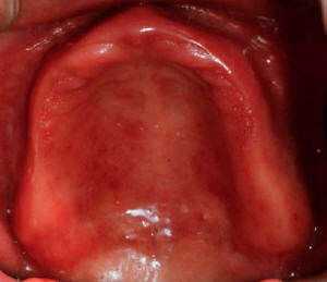
3. Problemas de
retención.
En la prótesis superior no se ha logrado un
buen sellado periférico:
-
Verifique el sellado posterior con lapiz tinta o demográfico,
el sellado debe llegar hasta la línea de la Ah...... no más posterior
porque causa mucho dolor. Para ello pinte el borde postpalatal de la
prótesis, e instale en boca a presión oclusal, luego retire la protesis
y observe si la pigmentación azul abarca la línea de la Ah.. Si no ha
logrado el sellado posterior, con un lápiz de compuesto de modelar remargine la
zona en cuestión, en este caso la línea de la “A” Si logra
la retención deseada, deberá realizar un rebasado posterioir.
-
Verifique si existen poderosos ligamentos
pterigomandibulares, que al abrir la boca desalojan
la prótesis.
-
Verifique en el maxilar
superior si los flancos adyacentes a los frenillos bucales y labial
presentan un buen sellado periférico o si estos están sobreextendidos
irritando la mucosa de los mismos.
-
Otras de las zonas dónde se dificulta el
sellado es en la región cigomática.
En el maxilar inferior verifique
el sellado periférico en: |
|
-
La zona del piso de
boca, la prótesis no debe extenderse más allá de la línea oblicua interna
y fosa retromilohiodea, dado que es una zona muy móvil puede causar la
falta de sellado periférico.
Indique al paciente que protruya la lengua, si levanta la
prótesis desgaste la zona de la prótesis para dar espacio al movimiento.
-
Verifique en el frenillo lingual que los
flancos de la prótesis no deben estar sobreextendidos
-
Tome el labio del paciente y realice un
movimiento circular de tracción y observe si la prótesis se levanta; si lo
hace debe liberar la zona acortando el flanco comprendida entre el
frenillo labial y el músculo borla del mentón, cuando el reborde alveolar
residual es muy bajo.
-
Vea que la prótesis no
se halla mas extendida que línea oblicua externa, y que la papila
retromolar se encuentra cubierta por la prótesis y que no llegue más allá.
|
|
4. Dimensión vertical oclusiva
-
Excesivo dolor por fatiga muscular,
cuando la dimensión vertical oclusiva es muy alta
-
Y cuando es muy baja tiene una pobre eficacia
masticatoria, el paciente relata no tener fuerza para masticar los
alimentos.
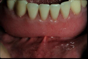
5. Alergias e inflamación
-
Las alergias al acrílico son muy raras. ver
foto derecha.
-
Puede
haber inflamación por fricción por una pobre relación intermaxilar, para
ello debe realizar el ajuste oclusal, como fue escrito anteriormente.
-
Inflamación por falta de higiene de la
prótesis. Ver foto inferior
|
|
6. Posición del diente protético
-
Inestabilidad
de la prótesis porque el diente ha sido colocado
por fuera del reborde
alveolar
-
Dificultad al masticar
por alteración del plano de oclusión y por ende la
ubicación de los
dientes.
-
Se muerde los labios, hay insuficiente
overjet
-
Problemas estético y fonéticos
Áreas que requieren un ajuste en la consulta
-
Maxilar
-
Surcos hamulares ,
produce ulceración cuando la prótesis esta sobre extendida.
-
Frenillo labial requiere un adecuado ajuste
-
En el rafe palatino hay un torus, si hay
suficiente material de prótesis en el paladar puede desgastarla para
generar un alivio
-
El área cigomática, puede realizar un
alivio , para evitar úlceras.
-
Mandibular
-
Frenillo lingual produce desplazamiento de
la prótesis o ulceración.
-
Zona retromilohiodea, cuando la prótesis
está sobre extendida causa levantamiento de la misma cuando el paciente
mastica o habla.
Problemas fonéticos
-
Espere un par de
semanas hasta que el paciente se acostumbre.
-
Verificar el área
palatina de los dientes anteriores porque si está muy abultada dificulta
el habla.
-
Un arco dental muy extendido
abierto también dificulta el habla, entonces lo mejor es
repetir la prótesis.
-
Un overjet muy exagerado produce ceceo, así
como también una relación de llave canina inapropiada.
|